Sonrisas bonitas Conducen a una vida mejor
El Dr. Emilio Couret y su equipo se complacen en ofrecer odontología personalizada de alta calidad para sus pacientes y familias.


¿Por qué Dente?
El Dr. Couret está comprometido con la mejora profesional buscando constantemente nuevas tecnologías y educación continua en su campo laboral.
Nuestros servicios
Además de nuestra tecnología avanzada y amplia experiencia en tratamientos 5 estrellas, también puede contar con medidas adicionales que tomamos para poder ofrecerle una experiencia dental excepcional.
Atención dental preventiva
Sedación Oral Consciente
Cosmética
Restauración
Conozca al Dr. Couret
Dr. Couret
Una vez que el Dr. Couret, nuestro dentista en Chicago, IL culminó la escuela de odontología, se comprometió a nunca dejar de aprender, y continúa comprometido con la última tecnología de vanguardia y los avances en el campo de la odontología.
.jpeg)
Conozca al equipo

Carin

Sara

Zhana
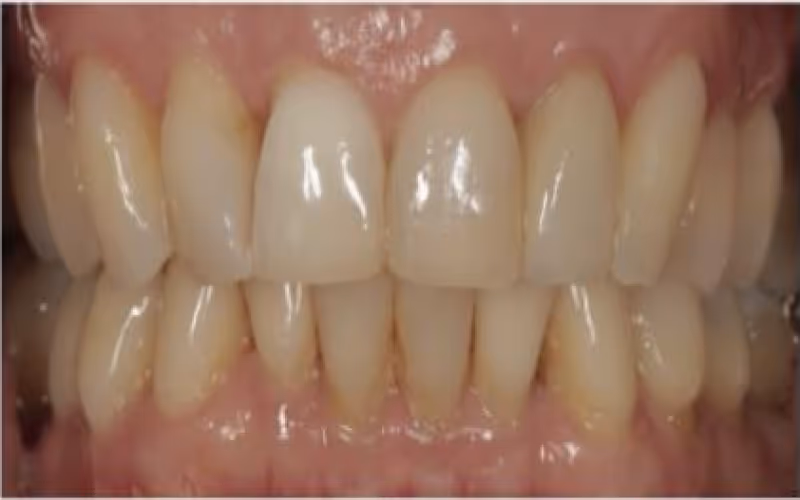
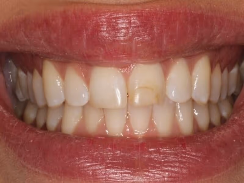
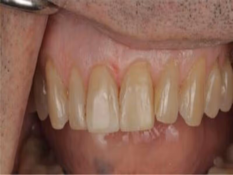
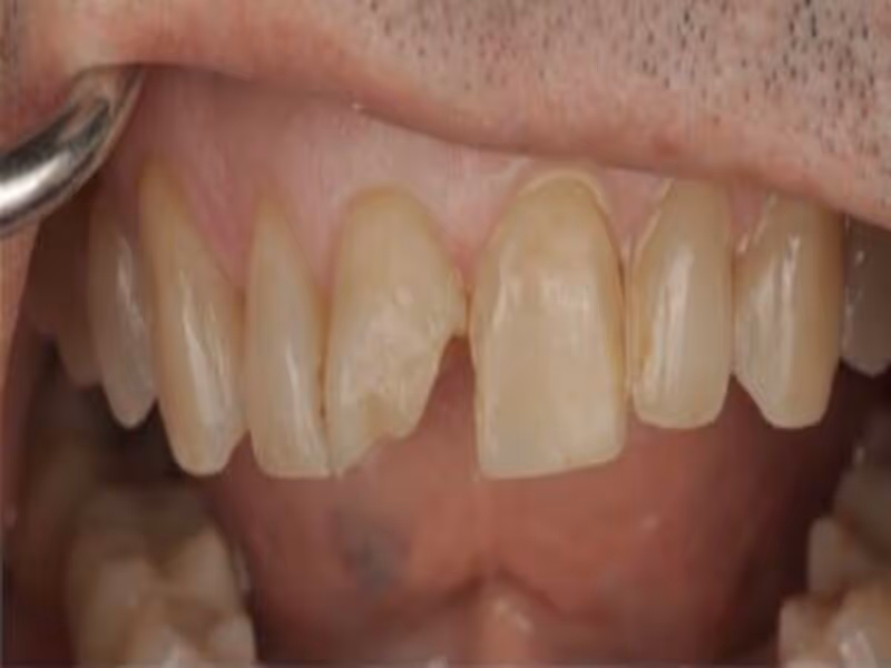
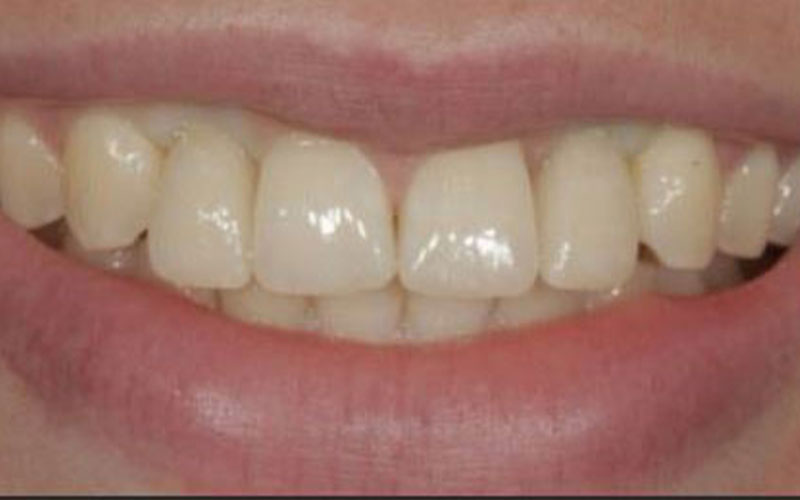
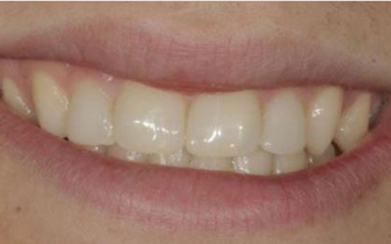
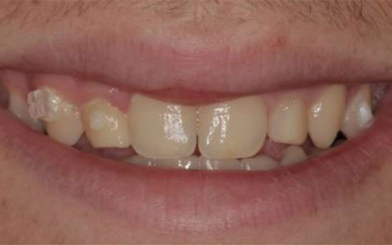
Antes y despuésu
Nuestro dentista experto y equipo dental profesional utilizan un sistema de blanqueamiento dental de última generación para eliminar suavemente las manchas de sus dientes, dejándole con una sonrisa más blanca y brillante.
La opinión de nuestros pacientes
Obtenga un precio especial por una consulta de 99 $ .
*oferta válida sólo para nuevos pacientes
.webp)
Financiación
Lorem ipsum dolor sit amet, consectetur adipiscing elit. Suspendisse varius enim in eros elementum tristique. Duis cursus, mi quis viverra ornare, eros dolor interdum nulla, ut commodo diam libero vitae erat. Aenean faucibus nibh et justo cursus id rutrum lorem imperdiet. Nunc ut sem vitae risus tristique posuere.


Confíe su sonrisa a los expertos
Reserva tu cita con nosotros hoy mismo y experimenta el mejor cuidado dental disponible. Su sonrisa sana y feliz es nuestra máxima prioridad.
.avif)






















.avif)